Episode 30, Unusual Pathologies and Psychopathologies Part 1
Hello my little gremlins! Today we are delving into rare and bizarre pathologies- a subject we will be coming back to many times in the future! The parts in this series will not be back to back, but as an ongoing subject. And we will cover some psychopathologies too!
Today we discuss:
What pathology is
Schistosoma Parasite
Eagle-Barrett Syndrome
Tumor Causes Pedophilia
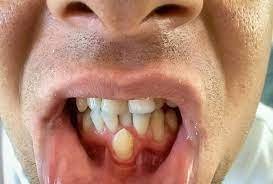
Brain Tumor With Teeth
Sialolithiasis
Eye Worm
Hyperdontia
Pathological Generosity
Girl Develops Acute Hepatitis After Drinking Unusual Green Tea
Poliosis Circumscripta
Gluten Psychosis
Coloboma
20-Foot Tapeworm
Bezoar
Acupuncture Causes Bacterial Infection
Anal Cancer
Sources:
Nicole Angemi's Anatomy Book
https://path.upmc.edu/cases/case1103.html
https://allthatsinteresting.com/parasitic-worm-penis
https://en.wikipedia.org/wiki/Pathology
https://en.wikipedia.org/wiki/Hyperdontia
https://www.ncbi.nlm.nih.gov/pmc/articles/PMC3669903/https://www.pathologyoutlines.com/caseofweek/case471.htm
https://www.livescience.com/53385-live-parasitic-worm-in-mans-eye.html
https://www.livescience.com/53882-schistosomiasis-infection-calcified-bladder-case.html
https://www.nhs.uk/conditions/klinefelters-syndrome/#:~:text=Klinefelter syndrome (sometimes called Klinefelter's,genetic sex of a baby.
https://www.nbcnews.com/health/health-news/pedophile-lost-urge-after-surgery-flna1c9478663
https://www.livescience.com/43706-brain-tumor-teeth.html
https://www.mountsinai.org/health-library/diseases-conditions/prune-belly-syndrome#:~:text=Prune belly syndrome is a,Urinary tract problems
https://allthatsinteresting.com/parasitic-eye-worms
https://www.livescience.com/39416-pathological-generosity-stroke.html
https://www.livescience.com/52392-green-tea-hepatitis.html
https://www.livescience.com/55166-celiac-disease-gluten-psychosis.html
https://www.livescience.com/53442-20-foot-tapeworm-from-raw-meat.html
https://www.livescience.com/53271-acupuncture-causes-bacterial-infection.html
https://www.livescience.com/45146-garcinia-cambogia-serotonin-toxicity.html
https://www.livescience.com/49942-seasonal-obsessive-compulsive-disorder-cured.html
https://www.livescience.com/53688-basketball-size-ovarian-cyst-eluded-doctors.html
https://www.livescience.com/29449-spiraling-esophagus-strange-condition.html
https://www.livescience.com/42079-baboon-syndrome-case-report.html
https://www.makatimed.net.ph/blogs/12-weird-mysterious-diseases-you-probably-never-heard-of/
https://www.nhs.uk/conditions/alkaptonuria/
https://medlineplus.gov/genetics/condition/hutchinson-gilford-progeria-syndrome/#inheritance
https://www.ncbi.nlm.nih.gov/pmc/articles/PMC7807362/#:~:text=Total penectomy involves excision of,of the entire corporeal body.
https://www.niddk.nih.gov/health-information/urologic-diseases/hematuria-blood-urine#:~:text=Hematuria means there is blood,urine test called a urinalysis
https://www.thecollector.com/what-is-alice-in-wonderland-syndrome/
https://en.wikipedia.org/wiki/Hypertrichosis
https://www.ncbi.nlm.nih.gov/pmc/articles/PMC9816878/#:~:text=Hypertrichosis refers to enormous hair,affect both men and women.
https://en.wikipedia.org/wiki/Fibrodysplasia_ossificans_progressiva
https://en.wikipedia.org/wiki/Congenital_insensitivity_to_pain
https://en.wikipedia.org/wiki/Foreign_accent_syndrome
https://my.clevelandclinic.org/health/diseases/23998-persistent-genital-arousal-disorder
https://www.ncbi.nlm.nih.gov/pmc/articles/PMC7667719/#:~:text=Auto-brewery syndrome (ABS),distress, and state of confusion.
